Skip Menu
Continue
Call
Today
for a Free Consultation
2600 E. Southern Ave, Suite B-2, Tempe, AZ 85282
(480) 267-9733
Home
About Us
Our Office
New Patients
Smile Gallery
Dental Videos
Testimonials
Our Doctors
John G. Fletcher, DMD
Services
View All
Dental Health
Contact
Contact Us
Request Appointment
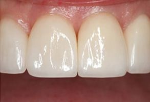
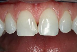
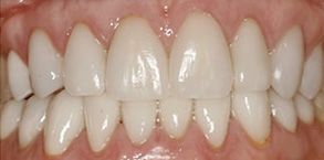
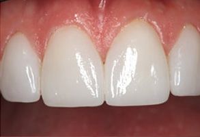
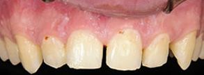
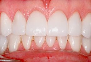
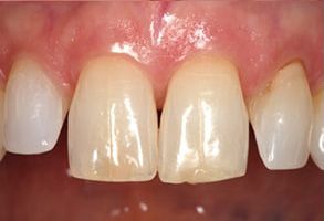
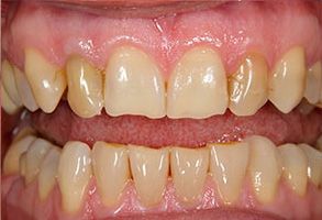
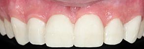
Smile Gallery
Before
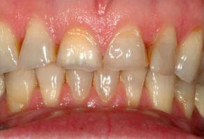
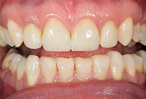
After
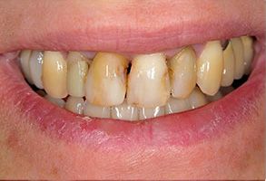
Before
After
Before
After
Before
After
Before
After
Before
After
Before
After
Before
After
Before
After
2600 E. Southern Ave, Suite B-2
Tempe, AZ 85282
(480) 267-9733
Appointment
Contact Us